Kaizen With Dental Photography

Kaizen With Dental Photography

The first thing that comes to mind when it comes to photography is the 10 to 15cm size papers in the old albums. So, how are we seeing more photos now?

– Of course digital photos!

Now, there are more digital photographs in our lives than physical photographs. Most of them are on our phones. You can’t hold them with your hands because they consist of numbers 0 and 1. a photo of  10 megabytes size can approximately contain 17,000,000 different colors.

In fact, here is a very nice proverb to sum up the situation: “A picture is worth a thousand words”.

Since there was no such thing as a photograph in the past, I do

not mind changing the “proverb” a little. Now, I think that “A photograph is worth a thousand words.”

Approximately 9 trillion photos were taken in the world in 2018. Now I’m asking you a question to answer honestly :

On average, how many photos did you take last year, and how many of them are related to your job?

The reason why I asked this question is that the answer is very easy and yet simple: “Kaizen”

In order to criticize your work constantly, the easiest way goes through “reading the photos you take”.

Kai-Zen

Kai means change, Zen means better. The Japanese refer to the philosophy of working and self-improvement to constantly do better with the desire to achieve perfection as Kaizen. In other words, Kaizen philosophy aims to have better results and a process in your job day by day.

The first thing you should do is to “accept that there are problems”.

Because problems exist not to live, but to solve.

In the second step, you need to focus on the problem you find, change the materials and techniques used in a repeatable way, and standardize the process.

Then, you should check if the changes are working.

Finally, you should take measures for permanent improvement.

Dental Photography is also a critical delivery tool.

If you take photos of your treatment, give them critical criticism and make minor

improvements every time, you may be surprised at how much you have developed in 1 month.

“Can I make a quick introduction to Dental Photography?”

Yes, you can. For example, if you have a smartphone in your pocket, you can start by using its camera.

But remember, as the lens gets smaller and closer to the sensor, the “Fish-Eye Effect” will be seen in the photos.

In other words, I do not recommend for you to make millimeter measurements and analyzes due to the distortion that occurs in the photographs which you will take at 30cm and closer.

The next step is to continue dental photography with a DSLR or mirrorless machine.

The best level you can come to is using a camera with a macro lens and macro flash at the end.

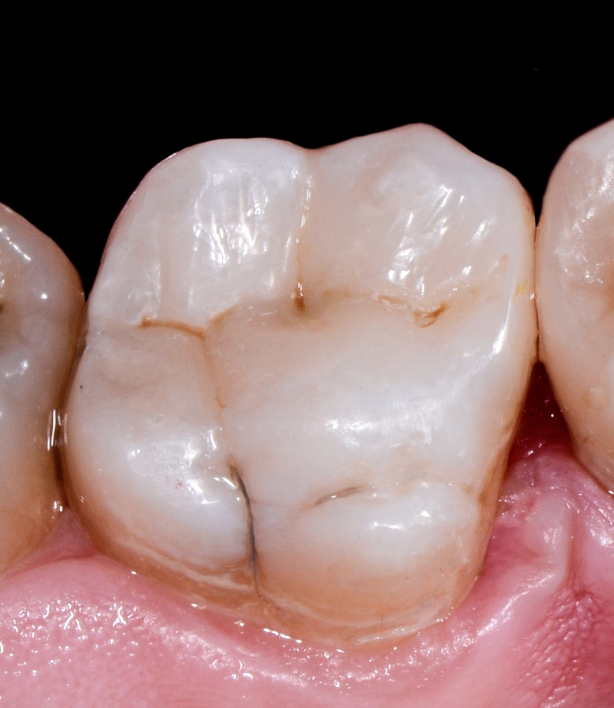
Finally, I’d like to share my own adventure with you. Below you can see the

the photo I took from my first composite filling when I was a student in 2009 and the filling I made in 2019:

Öğrenciyken yaptığım ilk kompozit dolgu – 2009

The first composite filling I made when I was a student – 2009
Bu yıl yaptığım bir kompozit dolgu – 2019

A composite filling I made this year – 2019
I wish you all a dau fulfilled with a lot of photos.

“If you want to cure boredom be curious. Cultivate curiosity, and life becomes an unending study of joy.” -Tony Robbins

Comments

Write a comment